Антон
Быстрая цифровая реабилитация
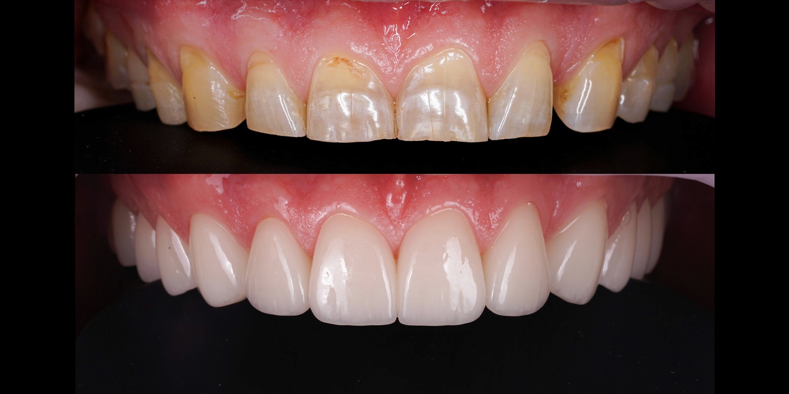
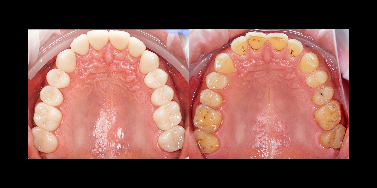
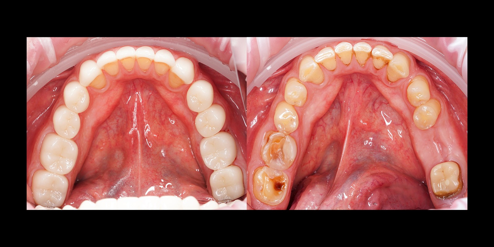
Антон приехал к нам из Санкт-Петербурга с очень четким запросом — хотелось восстановить зубы так, чтобы и функция, и эстетика были на высшем уровне, но при этом уложиться в ограниченное время. Работа и ритм жизни не позволяли долгого лечения, поэтому мы сразу предложили ему решение в полностью цифровом протоколе.
На первой неделе мы провели диагностику, цифровое моделирование будущей улыбки, установку импланта и пластику десны. Уже тогда Антон смог увидеть на экране, какой будет его финальный результат.
Во второй приезд мы подготовили зубы и зафиксировали временные конструкции, чтобы он мог спокойно улыбаться и чувствовать себя уверенно в повседневной жизни.
Финальный визит стал самым приятным — мы установили цельнокерамические реставрации, созданные с учетом всех анатомических и эстетических особенностей.
Так, всего за три поездки Антон получил улыбку, о которой давно мечтал. Естественная, гармоничная и абсолютно его — теперь она стала неотъемлемой частью его образа.



Этапы и подробности












НАПИСАТЬ В LCLINIC
Телефон:
Адрес:
Литовский Вал, 87А, Калининград
Часы работы:
9:00 - 19:00
Email:
НАПИСАТЬ В LCLINIC
Телефон:
Адрес:
Литовский Вал, 87А, Калининград
Часы работы:
9:00 - 19:00
Email:
НАПИСАТЬ В LCLINIC
Телефон:
Адрес:
Литовский Вал, 87А, Калининград
Часы работы:
9:00 - 19:00
Email:
Быстрая цифровая реабилитация
Антон приехал к нам из Санкт-Петербурга с очень четким запросом — хотелось восстановить зубы так, чтобы и функция, и эстетика были на высшем уровне, но при этом уложиться в ограниченное время. Работа и ритм жизни не позволяли долгого лечения, поэтому мы сразу предложили ему решение в полностью цифровом протоколе.
На первой неделе мы провели диагностику, цифровое моделирование будущей улыбки, установку импланта и пластику десны. Уже тогда Антон смог увидеть на экране, какой будет его финальный результат.
Во второй приезд мы подготовили зубы и зафиксировали временные конструкции, чтобы он мог спокойно улыбаться и чувствовать себя уверенно в повседневной жизни.
Финальный визит стал самым приятным — мы установили цельнокерамические реставрации, созданные с учетом всех анатомических и эстетических особенностей.
Так, всего за три поездки Антон получил улыбку, о которой давно мечтал. Естественная, гармоничная и абсолютно его — теперь она стала неотъемлемой частью его образа.



