Рашид
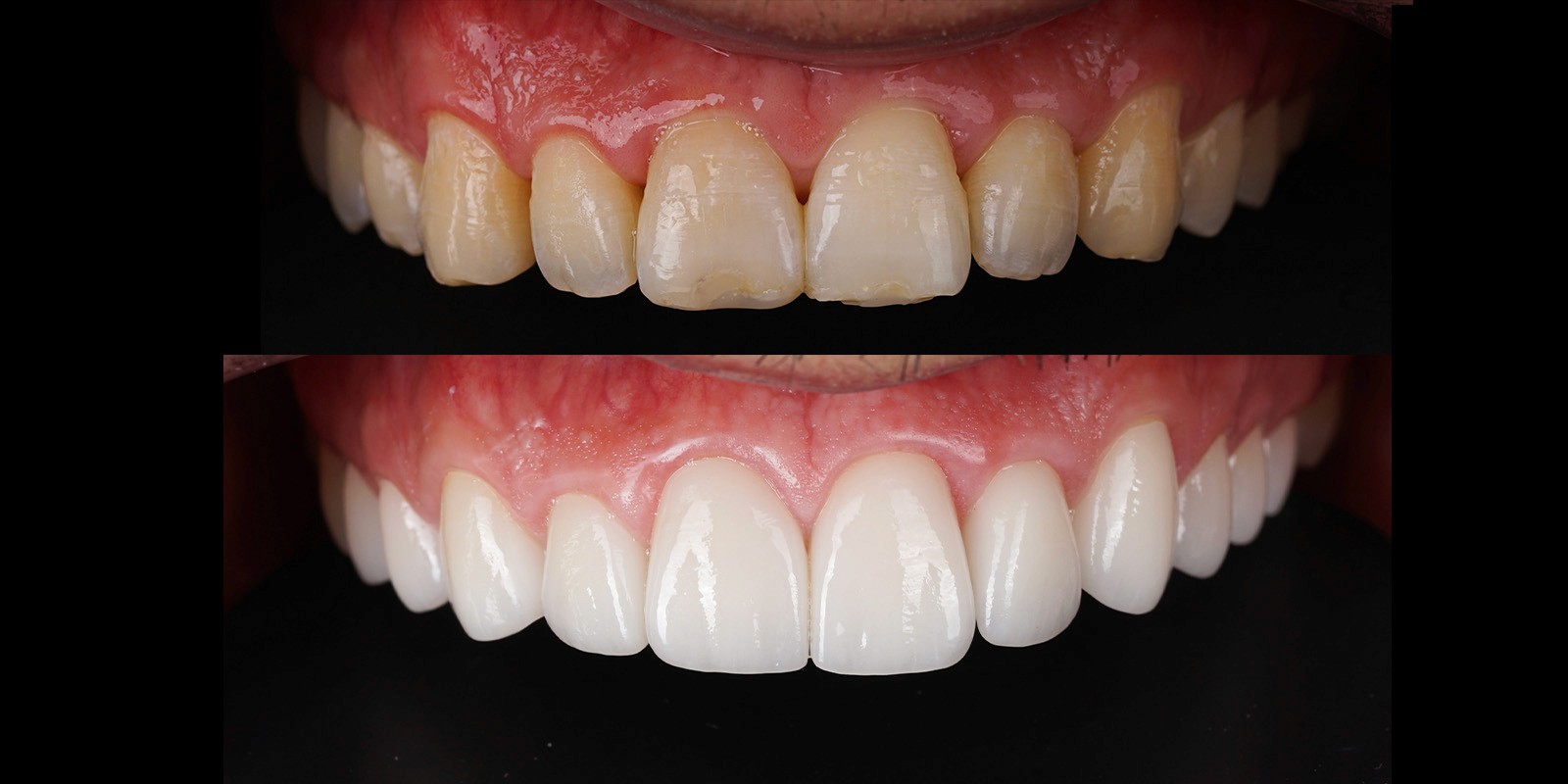
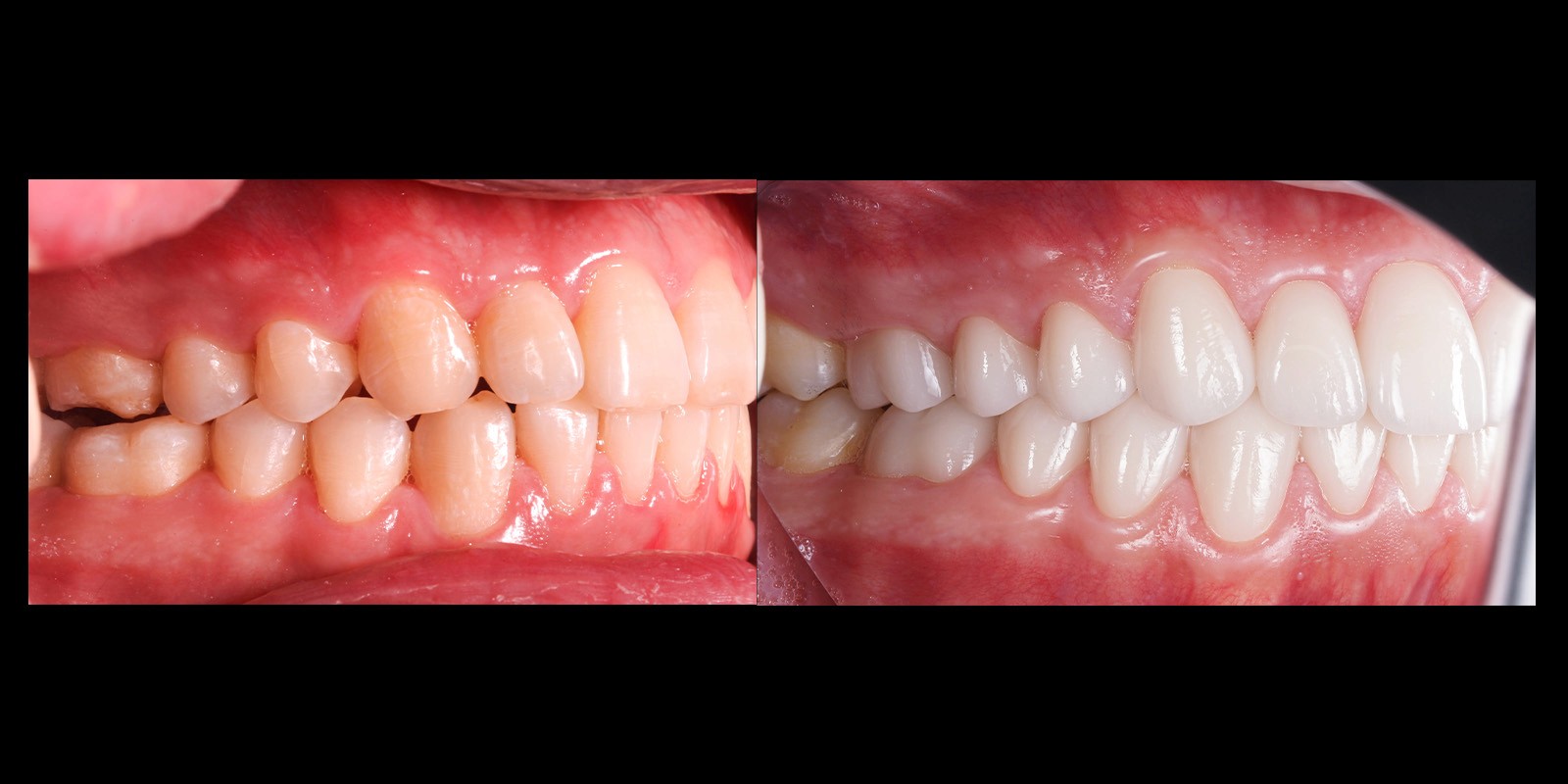
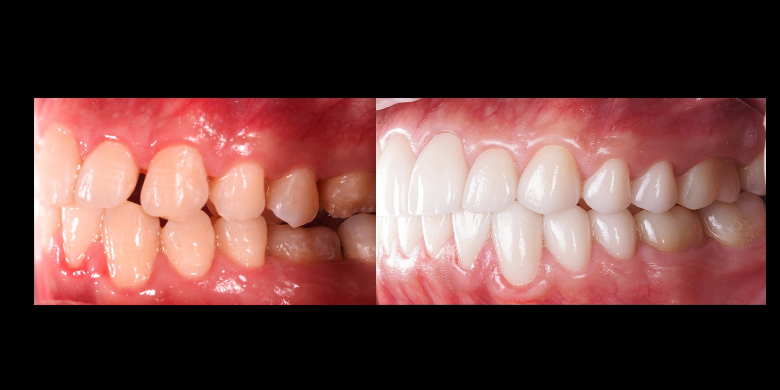
Улыбка кинозвезды за 4 недели
Рашид - жизнерадостный и улыбчивый молодой человек, всегда мечтал о безупречной улыбке, которая подчеркнет его индивидуальность.
Он обратился к нам с запросом на эстетическое улучшение, и наша команда предложила современное и комплексное решение. Диагностика показала необходимость коррекции окклюзионной и эстетической плоскости. Мы разработали персонализированный план, который включал установку цельнокерамических виниров и коронок на зубы верхней и нижней челюсти. Благодаря цифровому протоколу и точной работе наших специалистов всего за 4 недели улыбка Рашида полностью преобразилась. Виниры и коронки были изготовлены с учетом его анатомических особенностей, обеспечив естественную эстетику и гармонию зубных рядов.
Теперь Рашид с радостью демонстрирует свою новую улыбку, а его уверенность в себе достигла нового уровня. Настоящий образ кинозвезды! Если вы тоже хотите преобразить свою улыбку, мы готовы помочь вам достичь идеального результата.



Этапы и подробности












НАПИСАТЬ В LCLINIC
Телефон:
Адрес:
Литовский Вал, 87А, Калининград
Часы работы:
9:00 - 19:00
Email:
НАПИСАТЬ В LCLINIC
Телефон:
Адрес:
Литовский Вал, 87А, Калининград
Часы работы:
9:00 - 19:00
Email:
НАПИСАТЬ В LCLINIC
Телефон:
Адрес:
Литовский Вал, 87А, Калининград
Часы работы:
9:00 - 19:00
Email:
Улыбка кинозвезды за 4 недели
Рашид - жизнерадостный и улыбчивый молодой человек, всегда мечтал о безупречной улыбке, которая подчеркнет его индивидуальность.
Он обратился к нам с запросом на эстетическое улучшение, и наша команда предложила современное и комплексное решение. Диагностика показала необходимость коррекции окклюзионной и эстетической плоскости. Мы разработали персонализированный план, который включал установку цельнокерамических виниров и коронок на зубы верхней и нижней челюсти. Благодаря цифровому протоколу и точной работе наших специалистов всего за 4 недели улыбка Рашида полностью преобразилась. Виниры и коронки были изготовлены с учетом его анатомических особенностей, обеспечив естественную эстетику и гармонию зубных рядов.
Теперь Рашид с радостью демонстрирует свою новую улыбку, а его уверенность в себе достигла нового уровня. Настоящий образ кинозвезды! Если вы тоже хотите преобразить свою улыбку, мы готовы помочь вам достичь идеального результата.



